Composite Bonding

At The Hub Dental Rooms, we know how important a beautiful smile is. Smile makeovers in 1-2 visits.

Composite Bonding - Before

Before.

Composite Bonding is a fast, effective way to enhance the shape, color, and size of your teeth.

No need for drilling or injections.
It can be completed in just one visit!

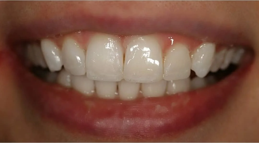
Composite Bonding - After

After Composite Bonding. Photography And Treatment by Dr Raj Panesar

Invisalign and Composite Bonding - Before

Before.

Invisalign and Composite Bonding - After

After Invisalign and Composite Bonding. Photography And Treatment By Dr Raj Panesar