Invisalign official logo - Invisalign NW10 North West London
 

Invisalign Dentist in Notting Hill – Clear Aligners from £25/month

Book a FREE Invisalign Consultation ONLINE
Call US Now - 0208 962 0000

Please see some of our patients and their happy smiles
All treatment and pictures by Dr Raj Panesar.

 

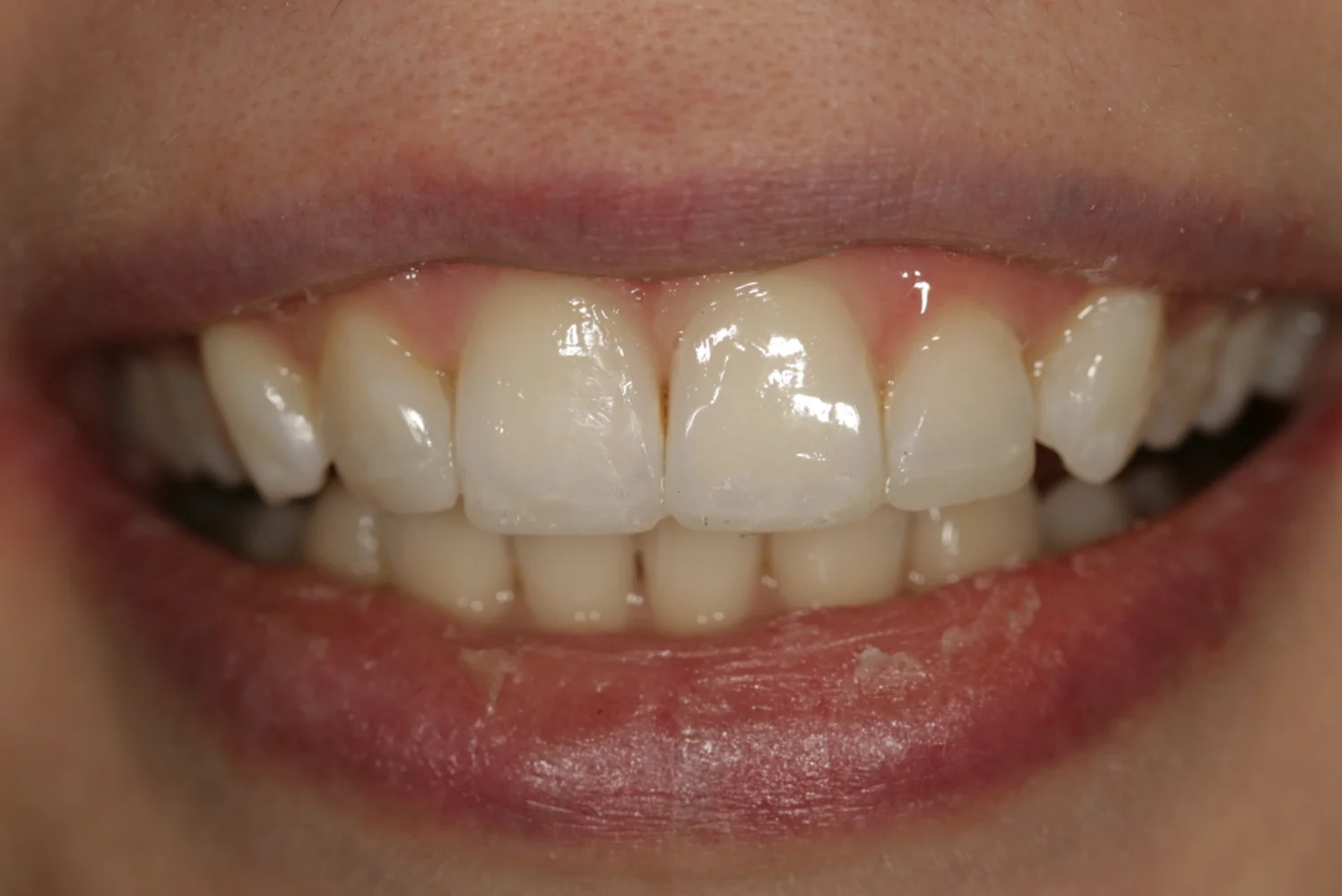
Andrea: Invisalign + Whitening

Andrea: Invisalign + whitening - Before

Before

Andrea: Invisalign + whitening - After

After

Alex: Invisalign + Whitening + Composite Bonding

Alex: Invisalign + Whitening + Composite Bonding - Before

Before

Alex: Invisalign + Whitening + Composite Bonding - After

After

Jane: Invisalign + Bridge + Whitening.

Jane: Invisalign + Bridge + Whitening - Before

Before

Jane: Invisalign + Bridge + Whitening - After

After

Arlene: Invisalign

Arlene: Invisalign - Before

Before

Arlene: Invisalign - After

After

James: Invisalign + Whitening

James: Invisalign + Whitening - Before

Before

James: Invisalign + Whitening - After

After

 
invisalign-1.jpg

A healthy perfect smile is why many children and adults choose to undergo Invisalign orthodontic treatment. Around friends and family, a less than attractive smile is not as noticeable. However, when meeting new people, making new friends, and in the workplace, your smile is more obvious to those who don’t know you.

When speaking one on one with others, a beautiful smile improves your appearance and increases confidence to better influence personal relationships. Undergoing orthodontic treatment is one of the best decisions you will make for yourself and family.

At The Hub Dental Rooms, we create beautiful smiles to last a lifetime. Our doctors will discuss the different treatment options available to meet your personalised needs. Both adults and children are evaluated the same way and treatment varies depending on the condition of the teeth and skeletal alignment. Treatment time can run as short as nine months or as long as three years depending upon the individual problem. An orthodontist, who is trained in tooth movement and skeletal jaw development, is your best option and most skilled dental profession to achieve that perfect smile.

Invisible braces

invisalign-2.jpg

In the past, getting braces meant years of painful and uncomfortable metal braces. Invisalign treatment utilises cutting edge technology to prepare a series of clear plastic moulds of your teeth during each stage of alignment. About every two weeks, we check on your progress and give you the next mould, or "aligner". The aligners are removable, making for easier eating, brushing and flossing. They move your teeth into place gradually, typically in a much shorter length of time than normal braces. The majority of cases are completed in less than a year.

Dr Raj Panesar is trained and certified to work with Invisalign technology and has helped many of his patients in the north west London Area (NW10, Notting Hill, Kensal Rise) achieve extraordinary results. At the present time about 80% of orthodontic treatment can be completed with Invisalign, although it is not generally used for children under the age of 14 years who have a combination of adult and children's teeth. Invisalign cost varies radically depending on the treatment goals but is generally in the same range as traditional orthodontics and also covered by traditional insurance plans.

Why use INVISALIGN?

  1. No more metal braces

  2. Clear and comfortable

  3. Aligners easily removed to eat and clean teeth

  4. Quicker results than traditional orthodontics

  5. Custom-made aligners unique to your smile

  6. Thousands of satisfied customers

How Does Invisalign Work?

invisalign-3.jpg

Invisalign uses a series of custom-made clear plastic aligner trays to gently and efficiently straighten the teeth. After examining your mouth, Dr Raj Panesar will create an impression of your teeth, map out how they will move, and send this plan to an Invisalign lab. There, they will make your trays according to her specifications.

Invisalign process - how we straighten your teeth

While most patients are always eager to start treatment, they are even more eager to get them off. Even though each patient is given an estimated treatment time wearing braces when they start, patients always hope we can wave our magic wands and complete the process sooner.

It makes sense that a patient may assume they are ahead of schedule when their teeth look straight in a mirror. Unfortunately, orthodontics isn’t just about straight teeth. The ultimate goal of good orthodontic treatment result is a beautiful smile as well as a healthy bite that lasts a lifetime.

After the braces are placed, the first step in treatment is to expand and uncrown the teeth or close spaces, depending upon the problem. Most patients will see major changes in their appearance in the first six months of treatment. After that, the changes aren’t as noticeable since they are more bite related. Consequently patients begin to start asking when they can expect to complete treatment.

Even though your teeth look straight, it is very important that your upper and lower jaws fit together correctly like a gear to prevent premature wear and tear of your bite over time. An orthodontist specialises not only in the movement of teeth, but the proper relationship of the upper and lower jaws and how it relates to facial aesthetics.

Patient cooperation is very important to a successful outcome, especially if rubber band wear is required. Patients with good oral hygiene habits and who follow all instructions will often completed treatment ahead of schedule.

If you have specific questions about your timeline, feel free to ask our doctors to explain what still needs to be completed in your treatment. Our goal is to make sure you understand all the different aspects of your personalised treatment.

So what is the answer to “When will my Braces Come Off?” When the best result is achieved!

We cover Invisalign in these areas of North London

  • NW10

  • Kensal Rise

  • Ladbroke Grove

  • Westbourne

  • Notting Hill

  • Grove Park

  • W10

  • North Kensington

  • Westbourne Green

  • Shepherd's Bush


If you're ready for a smile that transforms your appearance then Invisalign is your answer. Call our office today for a FREE consultation to see if you are a candidate for this new and effective procedure.

Our dental practice covers the areas of NW10 and W10, Kensal Rise, Ladbroke Grove, Westbourne Park, Notting Hill and Grove Park and nearby areas in North West London.

Call Now